ULTRASONIDOS
Agenda tu ultrasonido de embarazo en Tampa
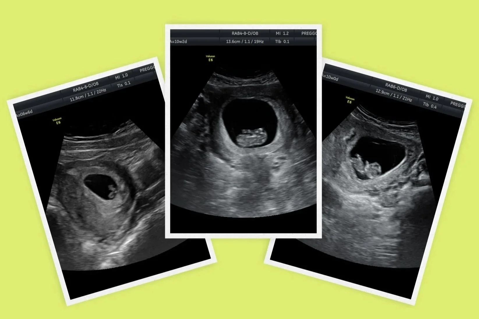
Reserva tu ultrasonido en Tampa de forma rápida y segura. Ofrecemos ultrasonido 2D, 3D y 4D, ultrasonido para revelación de género y ultrasonido temprano para confirmar embarazo en un ambiente privado y familiar. Vive una experiencia especial con imágenes claras y de alta calidad mientras conectas con tu bebé desde las primeras semanas. Agenda tu ultrasonido 4D en Tampa hoy y asegura tu espacio fácilmente en línea.
¿Cuándo soy elegible para agendar una cita?
Para saber cuándo es usted elegible para reservar una cita para ultrasonido 3d 4d o cualquier otro de nuestros servicios, por favor haga clic en el botón siguiente. Solo necesita saber la fecha estimada de parto o su último periodo menstrual.
PAQUETES BÁSICOS
En esta sección encontrarás nuestros paquetes básicos de ultrasonido 2D y ultrasonido 3D/4D en Tampa, diseñados como punto de partida para tu ultrasonido de embarazo. Podrás personalizar tu sesión de ultrasonido, elegir el paquete base y agregar extras a tu gusto para configurar tu experiencia ideal, ya sea para revelación de género, confirmación de embarazo o recuerdos especiales. Aquí podrás agendar tu ultrasonido en Tampa y pagar un depósito en línea, completando el balance el día de tu cita según tu etapa de embarazo.
$59
PAQUETE 2D BASICO
ULTRASONIDO BASICO 2D (DISEÑAS TU PAQUETE AGREGANDO LO QUE DESEES)
$79
PAQUETE 3D 4D
ULTRASONIDO 3D 4D BASICO (DISEÑAS TU PAQUETE AGREGANDO LO QUE DESEES)
PAQUETES DE REVELACIÓN DE GÉNERO
En esta sección encontrarás nuestros paquetes de ultrasonido para revelación de género en Tampa, ideales para quienes desean saber el sexo del bebé desde las 14 semanas de embarazo. Ofrecemos ultrasonido de género en 2D, 3D y 4D en Tampa, con imágenes claras y de alta calidad para vivir una experiencia especial y emocionante. Puedes elegir tu paquete base y personalizar tu ultrasonido de revelación de género agregando extras como fotos impresas, videos y detalles para tu celebración de gender reveal en Tampa. Reserva tu ultrasonido de género en Tampa pagando un depósito en línea y completa el balance el día de tu sesión.
$69
PAQUETE 2D
PARA REVELACIÓN DE GÉNERO, VISION EN 2D REGULAR ( IMÁGENES BLANCO Y NEGRO)
$99
PAQUETE
3D 4D
PARA REVELACIÓN DE GÉNERO, VISIÓN DE 3D 4D Y ALTA DEFINICIÓN
PAQUETES 3D 4D COMPLETOS
En esta sección encontrarás nuestros paquetes prediseñados de ultrasonido en Tampa, que incluyen ultrasonido 3D y 4D, revelación de género y recuerdos digitales. Son ideales para quienes desean un ultrasonido de embarazo para ver los detalles de su bebé, disfrutar de una experiencia especial y crear recuerdos inolvidables. Estos paquetes son fáciles de agendar, permitiendo que la mamá viva su ultrasonido 4D en Tampa con tranquilidad y menos ansiedad. Reserva en línea con depósito y completa el balance el día de tu cita.
